Menu
phone-icon

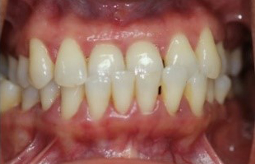
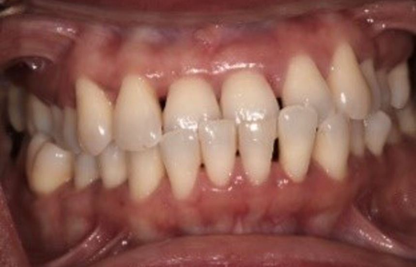
Non Surgical Debridement Case - Dr Haniyeh Moaven

Non Surgical Debridement 

For more information regarding this treatment
Contact Us OR Call 020 8689 6171
BACK TO SMILE GALLERY

OUR REVIEWS

CLIENT TESTIMONIALS

MJ

star
Munira Jamal.
quote

I took my 13 year old daughter for her second appointment with Almaas. My daughter had to have a tooth out, she had minimal pain. We were very satisfied with the treatment received. I would recommend this practice, all the...

NL

star
Naamin Lyrea.
quote

The hygienist l saw by name Nusarat Jahan was professionally kind and advised me accordingly. She is a star.

NG

star
Nicholas Gardiner.
quote

I have been with Brigstock Dental for 0ver 20 years. I have always received excellent service, friendly and highly professional. I saw Dr Hassan today and had a very successful treatment with him. Thank you very much indeed, greatly appreciated...

JM

star
Jacqui Marola.
quote

Great service woth Davesh Patel, felt in safe hands

NM

star
Nadir Mothojakan.
quote

Delighted that Dentist Almas completed a thorough assessment of my teeth structure, hence encouraging me to take more care to my teeth. I feel comfortable when eating. I am aware that I need to attend the practice for regular check-up...

NH

star
Nicola Heywood.
quote

Thank you to the Staff at brigstock Dental especially receptionists who helped me as I walked in upset on a Friday 15th march evening as they was just going home out the door as I had been in pain during...

BS

star
Bhimji Shah .
quote

I had two appointments with Dr. Sangeetha on two consecutive days. I felt comfortable at all the times. Dr. Sangeetha gives good explanation of the treatment and the process. Her assistant and the staff in reception were good. I would...

NM

star
Nina Morrison.
quote

Great dental practice! Dr Sangeetha and her nurse Salma are just the best ever! During my appointment I felt more like in SPA rather than in a dentist chair due to an absolutely painless treatment and very calm, friendly atmosphere....

NM

star
Nina Morrison.
quote

Great dental practice! Dr Sangeetha and her nurse Salma are just the best ever! During my appointment I felt more like in SPA rather than in a dentist chair due to an absolutely painless treatment and very calm, friendly atmosphere....

DF

star
Derek Fox.
quote

I am extremely pleased with the treatment I had. I expressed my mistrust in dentists because of past experience and Dr Hassan assured me he would do the best for me. He talked me through each step of the procedure...

JP

star
Jasmine Parsons.
quote

The staff at Brigstock Dental Practice are all very friendly and helpful. Dr Biney is always very helpful and kind. Highly recommend!

BB

star
Bella B.
quote

I had a wisdom tooth removed today. Needles to say I was not looking forward to it at all but my dentist was amazing!!! I can trust her 100% to look after me, especially as I'm a very nervous patient!...

GH

star
Gina H.
quote

My last visit to a dentist was in 2009, due to fear and being nervous I avoided the dentist. However, I needed to go and a friend recommended me Brigstock Dental. I put my big girls pants on and braved...

NS

star
Nalin Shah.
quote

Dr.Reza was excellent today. He explained everything to me and feel happy about my experience.

MP

star
Maria Phillipou.
quote

Recommend by my husband to see Karin (Hygienist). She saw my son & was very thorough & took her time to explain the importance of how to look after his teeth. She did an amazing job with his teeth &...

NA

star
Nisar Ahmed.
quote

It’s was amazing service and reasonable price Dr Mr Rudy give me amazing treatment

SN

star
Sonia N.
quote

I recently had the pleasure of seeing Dr. Aram Navai, a Specialist in Endodontics, and my experience was exceptional. Dr. Navai took the time to thoroughly answer all of my questions, demonstrating a high level of patience and attentiveness. He...

JK

star
Jaapjir Kaur.
quote

It's very well maintained dental practice...staff is also helpful.. Its outstanding 👏 The all Admin department and applaud Doctor Reza Devari from my all family members..there is no more then 5 star otherwise I would have given.. I appreciate 🙏

NA

star
Nadya Asenova.
quote

Lovely secretary Tracy, was extremely helpful and kind. The Dentist Dr Zohaib was brilliant. Each time I go to Brigstock the team is amazing!

AG

star
Alen Gjini.
quote

We attended open days for children at the beginning of the year, our little girl was very scared, but after 3 appointment with Dr. Reza, she’s improved hugely! Very kinda and gentle approach. Definitely recommend for children!

SA

star
Shaamil Allie.
quote

Great dental practice Dr Reza was professional and really took every precaution whilst treating my teeth.

VL

star
Vicky Lancaster .
quote

I had to have a crown fitted with a filling being replaced. This was the first major dental procedure for me, and I was scared! Dr Rudy Audit and his dental nurse (apologies I don't know her name) could see...

PK

star
Pravin Kapadia.
quote

My wife Leena Kapadia and I are happy to do this review for Brigstock Dental, Implant & Specialist Referral Centre because we have been registered with this Centre for many years and, over the years, based on our own experiece,...

EN

star
Elfreda Nettleford.
quote

Happy with my service at this dental surgery staff very friendly and welcoming and my main man ruddie and he's lovely assistant always put me at ease every time I have too go too see them both their look after...

CV

star
Sonia Valente.
quote

I've been attending this practice for a few years now, and I recently had my first hygiene appointment with Nusarat Jahan. She was amazing, and I'll definitely be requesting her for future appointments. My teeth have never felt so clean...

JS

star
Jaimin Shah.
quote

If you want an awesome Hygienist then Karen and Nusrat are the people you're looking for. Kind, considerate and thorough. What more can one ask for. Happy customer :-)

AG

star
Annie GL.
quote

Nusarat has provided excellent hygiene services over the last few years. Thank you for your advice on maintaining teeth and gums well.

SB

star
SB.
quote

Gabriela Ianas booked my appointment with the dentist and helped the dentist with my treatment which was so smooth and professional . I was in pain for 2 day straight away they made the pain disappear all I can say...

AOV

star
Anika Olga Voros.
quote

I had a hygiene appointment with Nusarat Jahan. Unfortunately I have a gagging problem so I always feel nervous when I go to the dentist. Today I had an amazing experience, Nusarat was really nice and helpful. If you have...

HG

star
Hemanth Gowda.
quote

Awesome service by Dr.Rudy Audit and his team. Extremely happy with the treatment

D

star
Dwayne.
quote

Going to the dentist it's never fun, but dealings with Nusarat Jahan and Eve always makes the experience pleasant. A credit to the team.

BJ

star
Bhmiji Shah.
quote

I had a routine check up appointment two days ago with Dr. Sangeetha. I felt comfortable during check up. The reception staff are very good. I have been a patient with Brigstock Dental for more than 10 years. I would...

TI

star
Tariq Idris.
quote

Dr Zohaib and his Assist nurse Mariyah were Extremely professional & friendly. The service they provided made my elderly parents feel extremely comfortable and welcome. He attended to us with an huge deal of care and professionalism outlining a clear...

CN

star
Crys Nagg.
quote

Recently began coming here and have had the most amazing experience with dentist Almaas Jawad. So friendly and makes me feel so relaxed, all treatments are completely painless. Very professional and great patient care.

CL

star
Chris Lankester.
quote

I have been a patient at this practice for more than 10 years. My dentist - Dr Rudy Audit - is the ultimate professional. I haven't had any work done for 4 and a half years but my recent check...

TH

star
T Hussain.
quote

I had to visit this practice for some emergency care recently - was given an emergency appointment within an hours (not possible elsewhere locally). Saw a fantastic dentist Dr. Davish Patel very thorough, very professional, outstanding service. Thank you Dr...

AK

star
Ali Khan.
quote

Needed an emergency appointment and they managed to get me in the very next morning. Reception staff were really quick and efficient on arrival. Dr Zohaib Hassan managed to see me earlier than planned which was a first as far...

DC

star
Dorina Codreanu.
quote

Exceptional Care from Our Friend and Amazing Dentist On behalf of my entire family, I want to share our immense gratitude and appreciation for our good friend, Davesh Patel, and his wonderful nurse, Julia. Not only are they incredible professionals,...

FP

star
Farida Pirani .
quote

I am so impressed with the way Shabana carried out my treatment. She was kind, compassionate, thorough and competent. I am really grateful and would highly recommend to anyone who is looking for a fantastic dentist.

FD

star
Farri Deen.
quote

Dentist Rudy did a fantastic job!

IS

star
Irena Sanchez de Lozada.
quote

I had a complex canal works in this clinic with an incredible Aram. I expected I would have pain after this 2 hour treatment but it went so light and easy and no pain afterwards. Wow! What a talented doctor!!...

KH

star
Komal Harding.
quote

Really friendly and helpful Receptionist and Nusarat is an amazing Hygienist!

DP

star
Deanna P.
quote

Saw Dr Shabana today, it was an absolute pleasure. She and her colleague assisting her were friendly and supportive. Explanation was given prior to starting as well as I was given an opportunity to ask questions. Would definitely recommend.

DC

star
Dave Cameron.
quote

Excellent service by Zo. An invisible front tooth filling! Very happy!

TT

star
Teresa Tyson .
quote

I have been registered with this dentist for 15 years + and I am very happy with the treatment I receive. My dentist Zohaib Hassan is always friendly with a GSOH just what you need when you are in a...

A

star
Ang.
quote

I’ve been booking Nusarat as my hygienist for the past three years and I must say her service is exceptional. She always takes her time to assess, explain and carry out the cleaning/ polishing. I’ve been able to implement a...

SS

star
Sandra Shan.
quote

Dr Kreena Patel is amazing! I always feel in safe hands with her. She’s an expert in her field and takes the time to explain everything to you. The receptionist staff are so helpful and kind too. Thank you Brigstock...

AC

star
Andrew Cleyndert.
quote

5 star treatment as ever from Brigstock - the hygienist identified a cavity during her usual excellent and thorough teeth cleaning - the ever helpful reception managed to fit in a check up with the dentist an hour later and...

SS

star
Suheyla Swan .
quote

Kreena did an amazing job of my root canal. She was friendly and professional at all times, which put me at ease.

VH

star
Vincent Heyes.
quote

I always receive a warm welcome at Brigstock and I am lucky enough to be treated by an outstanding dentist, Davesh Patel. Having had a great deal of treatment over many years I am well placed to comment.

CGA

star
Christian Ghunney-Ayivi.
quote

Best of the Best. Dr. Shabana Buth was not only very professional and skilled, but also very patient. She explained everything as she went along and made sure that I was comfortable and understood what was happening all the way...

EE

star
Ekaete Essiett.
quote

My first appointment here at this Practice was on 25/02/2025 and Dr Kajori Patel was my Dentist for the day, it was a seamless experience. She explained what I should do to take care of my teeth better and she...

MN

star
Murugesu Navaratnarajah.
quote

I attended the practice to see Dr.Kreena Patel after being referred to her by my dentist Pam Nava for a specialist consultation . The practice was easy to get to . The receptionists were polite and efficient . Dr.Patel was...

SS

star
Shinu Saju .
quote

I really had good time with Dr Davesh Patel, he reassured me throught out my appointmnt and make sure i am comfortable and safe. He also explainex breifly what is the concern and solution will be. I would recommend.

YM

star
Yong Ming .
quote

have done many visits to my favourite hygienist Karin who she is so gentle to clean up my sensitive teeth. This is my first time I write this review as I should done after my several visits. I remembered my...

BSS

star
Bharti Sailesh Shah.
quote

Dr. Rudy and his assistance were very polite, greeted with a huge smile. Checkup went very smoothly.

RH

star
Riri Hibz .
quote

I’ve had the pleasure of seeing Zohaib, it’s been two visits so far and I’m extremely happy and pleased with his support on this journey to fixing all my problems! Amazing clinic and front desk staff aswell! Great people.

JH

star
Joseph Harrington.
quote

My family and I have been going to this practice since it opened in 1983. Mr Patel has now retired but his daughter and colleagues have continued his excellent work which is why I travel some distance now to this...

ZW

star
Zaha Waqar.
quote

Dr Jawad was brilliant. She immediately put me at ease and was patient and kind throughout the procedure . She was very knowledgable and answered any questions I had. 12/10 one of the best dentists I have come across recently...

ML

star
Miriam Lewis .
quote

Both my teenage son and daughter had treatment with Almaas, she was very kind and looked after them very well. The dental Nurse with her was very caring too.

SK

star
Suruthi Kengadaran.
quote

I visit Dr Almas Jawad at this practice and herself as well the team are incredible! Dr Jawad makes you feel very comfortable as I have really bad anxiety. She’s very calming and makes me feel at ease during the...

NBM

star
Nails by Mets.
quote

Have been attending this dentist since I was a little girl, with Senior Dr Patel (who has since retired!). I now take my children and we see Dr Zo who is very friendly and makes the children feel really comfortable....

AF

star
Angus Fletcher .
quote

Overall the service is great. Nasarat is an amazing hygienist

KF

star
Kim Fitzgerald.
quote

It is the first time I actually like going to the dentist. The reception girls are lovely you walk in and the both always have a smile on there faces,they know me by name without me telling them who I...

CEF

star
Cesar Echavarren Fernandez.
quote

I got treated by Dr Kreena and I'm very happy about the way she treated me. She had to do quite a tricky procedure, fixing my previous dentist's mistakes, and she did an amazing job. Not only that, she went...

DI

star
Deepak Idnani.
quote

I was referred my own Dentist because of an impacted wisdom tooth. I was very impressed by the friendly and professional manner of the receptionists on the phone and in person. I have been very impressed by Dr. Davesh's thoroughness...

HS

star
Herta Salna.
quote

Davesh is really insightful professional who explains treatment steps well. I still have a few appointments to go and thus far I've been impressed. Lovely receptionist lady who was very helpful and kind too 😊

AO

star
Anu Oludiran .
quote

My experience with the hygienist Nusarat was very pleasant , she was soo lovely and really took her time. Would definitely go back.

BB

star
Brian Black .
quote

31 years ago, I was told of a dentist who was very good with young children. As a 'grown-up' who was embarrassed by the dreadful state of my teeth after many years of neglect, I summoned up the courage to...

LB

star
Linda Bignell .
quote

My regular dentist referred me to Kreena Patel who gave me amazing advice and a plan for the future. Wonderful woman.

SS

star
Samantha Smith .
quote

I visited this morning for my first ever filling, I had done some research beforehand on the procedure itself and what to expect. For some bizarre reason I was excited, which I did share with Zohaib; I was reassured being...

OH

star
Olaide Harriete.
quote

I was seen by Dr Davesh Patel, he was amazing, very caring and reassuring. Many thanks.

AP

star
Aamina Patel .
quote

I went to Zo for a filling and was really nervous about the injection, but he was calm and reassuring, and it honestly didn’t hurt at all. The filling turned out really, really good. He also fixed a chipped tooth,...

MT

star
Mayoorathy Thushaarah.
quote

I had re-root canal treatment done on three front teeth by Dr Kreena. I was a bit nervous about my treatment. However, Dr Kreena put me at ease as she was very reassuring and took time to explain everything clearly...

OS

star
Omar Shafiq.
quote

I recently had three fillings rebuilt at Brigstock Dental Surgery, and I couldn’t be happier with the care and service I received. A special thank you to Dr. Zohaib, who carried out the treatment. He was calm, professional, and extremely...

K

star
K.
quote

I had specialist root canal treatment by Dr Kreena Patel. The level of skill and professionalism from Kreena was exceptional. I was made to feel very welcome and comfortable during both visits.

LB

star
Luke Bellars .
quote

5 star review for the team at Brigstock. Service was incredible, no waiting, straight in and made to feel at home straight away. Dr Zo Hasan was so helpful and knowledgable, talking through the whole process and making things easy...

OR

star
Ombretta Romani.
quote

I had my dental hygiene appointment with Karin, and she was fantastic. She talked me through every step of the process, which really helped ease my anxiety, as I’m usually quite nervous about dental procedures. Karin made me feel comfortable...

DYC

star
DYC .
quote

Had an extraction done by Dr Hassan. He was professional,calming and informative, which put me at ease Thank you to the whole team

L

star
L.
quote

Dr Rudy and the dental assistant are always really friendly, welcoming and approachable. Dr Rudy always gives me clear easy to understand advice when needed and as a result my teeth are in great shape. Really pleased he is my...

BP

star
Bipin Panchasara.
quote

I was recently seen by Mr. Zo at this surgery for some emergency treatment, he was caring, gave excellent treatment and wonderful advice. I was also seen by Miss Kajori Patel for root canal treatment, she was so so efficent...

KP

star
Kunal Patel.
quote

Ms. Nusarat (Hygienist) is a brilliant lady with exceptional skills as a hygienist. Very friendly and made me very comfortable during my treatment. I am going again after three months.

AD

star
Ann Dickenson.
quote

I have been attending this practice for many years and have mainly been seen by Davish Patel. I have always found him to be very professional, and he always explains carefully any concerns or questions I may have. On one...

PI

star
Pauline Irwin.
quote

I have been visiting this dental practice for many years and have nothing but praise for them. I am a very nervous patient and Dr. Davesh Patel and his team always make me feel reassured and are very understanding. The...

N

star
Natalie C Y S .
quote

Had root canal treatment done by Dr Aram Navai on the 08/07/25 and it seems to have worked so far. Going private was my last hope to save my tooth. Dr Aram didn’t speak too much and thank god for...

SC

star
Sonia Clarke.
quote

As always, the receptionists are very friendly and helpful. I was booked in to see the hygienist today—a lovely lady called Nusarat Jahan. She explained everything clearly, offered helpful advice, and put me at ease at every step. She constantly...

CG

star
Clare Ginty .
quote

"As a fellow dentist, I hold high standards when it comes to clinical care—and I can confidently say that Dr. Zo delivers. His knowledge, attention to detail, and calm demeanour made the entire experience smooth and relaxing. I wouldn’t hesitate...

GH

star
Gayla Hariram.
quote

I had a root canal done with Dr Kreena Patel (endodontist). She was excellent at explaining all the way through. She discussed my options and was clear about costs. I was very apprehensive about the treatment as I have had...

CG

star
Crispen Green .
quote

Haniyeh Moaven is awesome, taking very good care of me and ive never had a painless required toothe removal. I had to ask if it was out!. I am very happy with my. Eveything is explained clearly before and after,...

LR

star
Lyn Russell.
quote

Had tooth removed by Davesh Patel. As always he explained everything and tooth was removed efficiently. No pain no trauma. I would also mention the reception staff who are friendly and very helpful.

KT

star
Kaori T.
quote

It’s my first time at this practice for an assessment of a root canal treatment and Sadiyah at reception was very kind and helpful to me in arranging an appointment sooner by liaising with the endodontist herself. What a great...

AA

star
Amina Abbas.
quote

Dr Almaas was fabulous, she looked at our sons teeth, was calm and talked us through what he needed. Definitely calmed his nerves and ours.

SS

star
Sona Shah .
quote

Fantastic Care from Nusarat Nusarat is an exceptional dental hygienist—thorough, gentle, and always professional. She takes great care to make every cleaning as comfortable as possible and is incredibly detail-oriented. Her friendly and calm demeanor puts you at ease right...

EN

star
Elfreda Nettleford.
quote

always happy with my service at this dentist receptionist's always friendly and welcoming I feel relax while am there and ruddie and he's assistant always take care off me making sure lm okay always very happy with this dentist I...

DG

star
Daniela Goncalves.
quote

Excellent Hygiene Appointment with Dr. Nusarat. I have had wonderful experiences since 2023 with Dr. Nusarat. She is always professional, gentle, and very thorough. Takes the time to explain everything to me, when I ask questions! Also routine appointments with...

KS

star
Khurram Amina Shahzad.
quote

Dr Rudy and Nurse Gabriella always make me and my family with little people welcome. Their warm yet professional attitude always puts us at ease. Dr Rudy saved one of my very tricky tooth , because of his carefully planned...

KP

star
Kaval Patel .
quote

Very quick and Efficient service.Especially Dr Rudy was amazing

NA

star
Nadya Asenova.
quote

Lovely secretary Tracy, was extremely helpful and kind. The Dentist Dr Zohaib was brilliant. Each time I go to Brigstock the team is amazing!

SA

star
Sonia Ackun.
quote

As always, I received excellent service from Nusarat Jahan, my hygienist. She is always friendly, professional, and makes me feel comfortable throughout every visit. My teeth always feel incredibly clean afterward, and I truly appreciate her attention to detail and...

AH

star
Asad Huss.
quote

A big thank you to Dr Kajori Patel, Maria and one of the receptionists. Sorry I never got your name but you have been very nice each time I have visited. I Had 2-3 fillings done on 04/11/2025 and they...

TT

star
Teresa Tyson .
quote

I have been registered with this dentist for 15 years + and I am very happy with the treatment I receive from my dentist Zohaib Hassan, he is always friendly with a GSOH just what you need when you are...

KW

star
Karola Winter .
quote

Reception staff and technician are very friendly and efficient. This is by far the best dental practice in this area. Karin the dental hygienist is very thorough and extremely pleasant.

RJ

star
Rob Jag .
quote

I have been with Brigstock Dentist for about 35 years,At first I had a few different Dentist within the company, then settled with dr Patel till he retired, now I have a young man named Dr zohaib Hassan, he's very...

PA

star
Pinar Akgul.
quote

Dr Zohaib Hassan is a really great dentist. His care is attentive, reassuring and he honestly works miracles. He takes the time to explain every step of the procedure, and makes sure you feel comfortable throughout. Today I had an...

UQ

star
Umar Quraishi.
quote

Dr Zohaib Hassan is a very friendly and competent dentist. His care comes across well and he takes the time to explain every step of the procedure and makes sure you feel comfortable. He communicates and treats patients across all...

KD

star
Kantilal Dudhia.
quote

“I received excellent service from my dentist today. The team was professional, welcoming, and attentive to my comfort. Everything was explained clearly, and the procedure was quick and painless. Highly recommend!” Service received from Almaas Jawad

JW

star
Jenny Wade .
quote

Had an appointment for complex extraction today with Chandni. Very patient and attentive and incredibly skilled.

IC

star
Ian Cormack.
quote

As usual place is spotless made to feel welcome efficiency of staff spot on and my dentist and helper spot on always make you feel welcome thank you Rudi

CB

star
Christine B.
quote

After making the decision to have my wisdom teeth extracted I was still nervous and worried. The dental assistant was also very supportive. My Dentist Davish did the extraction He was so gentle with my mouth I did not feel...

YR

star
Yashwin Ravalia .
quote

I have been having dental surgery under Dr Davesh Patel since April 2025. I have had 1 implant done and am waiting for 2 more implants ro be done. I found Dr Davesh Patel to be very patient and pleasant....

YT

star
Yvonne Taiwo.
quote

My daughter has braces and was advised to have a hygiene clean. Dr.Nusarat Jahan was so good with my daughter and made her feel at ease and was extremely gentle.

OK

star
Oliver Kisby.
quote

Visited for some root canal treatment with Dr C P. She was the ultimate professional and went beyond the time allocated for my appointment to get the job done over one appointment, rather than two. She explained the process beforehand...

VS

star
Vinod Shah.
quote

Modern dental practice kitted out with the latest technology to provide a thorough and precise capture of the patient’s dental profile. The advanced equipment should help ensure the treatment plan is tailored to my specific needs. During the visit, Dr...

TG

star
Thomas Gebray.
quote

My experience was amazing, my dentist was El Eden and she was truly amazing! I had a general check up then a filling, she was incredibly informative and through along being patient and gentle which are very important and rare...

CB

star
Chris Beard.
quote

I saw Dr Kreena Patel at Brigstock Dental, for root canal work. Dr Kreena is a most highly qualified, patient, kind and professional endodontist, and I would have no hesitation in recommending her. Brigstock Dental has excellent state of the...

JM

star
Junior Malcolm .
quote

I had a Dental Hygenist appointment. Lucy Brooks did a very good job. She put me at ease and did a rather pain free and thorough job.Thanks.

ST

star
Steve Taylor .
quote

Perfect service received from nishma wet from rotten teeth to a Perfect smile course of treatment over a year with the best most caring dentist I have ever met in my 59 years highly recommended to everyone

MM

star
Margaret Morgan .
quote

I was made to feel very welcome. The dentist Davesh made a good job of my implant, without any discomfort, and I was pleased with the result. From: Margaret E. Morgan.

VIEW ALL TESTIMONIALS LEAVE US A GOOGLE REVIEW

CONTACT US

GET IN TOUCH